有种常见病,照照镜子就能发现,越早治越省钱!
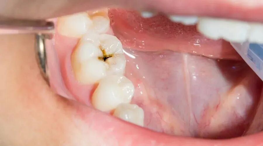
如果你对着镜子观察过自己的牙齿,很可能会看到这样的画面——
图片来源:站酷海洛
咦,牙上咋这么多小黑缝?
想抠一下,又抠不出东西来……
抠,是抠不掉的。
不仅抠不掉,里面甚至会「别有洞天」。
那这种小黑缝到底是什么东西,发现了该怎么办呢?看完全文,你可能会省下一笔巨款 。
黑缝,其实是蛀牙的信号
牙齿的颜色本来是白色的,当牙齿隐隐约约透出黑色、灰色的时候,就要注意蛀牙可能已经渐渐发展起来了。
我们吃完东西后留在嘴里的残渣,是细菌的盛宴。细菌吃完一顿饭大约需要 16 小时,这也是我们每天至少刷牙两次的原因。细菌也不白吃,吃完之后会产出酸类物质还给你。可惜持续一段时间之后,酸会渐渐腐蚀牙齿硬组织,形成龋齿。
牙齿平滑的表面上,食物是不容易在上面残留的。靠着源源不断的口水冲刷和刷牙,即便是粘在牙齿表面上的食物残渣,也很少可以持续附着。但是牙缝里可就不一样了。
图片来源:图虫创意
这里是细菌最好的庇护所。食物残渣一旦卡在牙缝中后,很难被清除。
刷牙?刷不到。漱口?作用更小。
这可就让细菌大快朵颐,在一个相对封闭的环境里持续分解食物残渣中的糖,不停分泌酸性物质,导致牙齿表面脱矿。久而久之,蛀牙就产生了。
蛀牙很重要的表现就是牙齿变色,并且产生空洞,还会感觉到疼痛,尤其是在冷热刺激下。这也就是我们把黑缝磨开来的时候,发现里面「别有洞天」的原因。
黑缝,可能只是冰山一角
蛀牙,是口腔疾病中发病率最高的几种疾病之一,但很难自己发现。除了前面提到牙缝里隐匿的蛀牙,还有一些蛀牙长在大牙面上的「窝沟」里,表面上看起来只有小小一个黑点,非常不引人注意。
蛀牙露出来的部分只是冰山一角,在牙齿深部可能已经酝酿出巨大的损伤,里面的蛀牙体积,甚至能达到表面的五六倍。
图片来源:站酷海洛
特别是牙缝里的蛀牙,需要有临床经验的牙医检查并拍摄 X 光片才能发现。一旦看到黑缝,说明蛀牙可能已发展了很久。
蛀牙发展期间还可能伴随牙痛。轻点的,喝冰水热水刺激到的时候才会痛;重的,可就不分时候了,比如晚上夜深人静突然开始连牙带脑袋一起痛,痛到怀疑人生。
所以,早在牙齿发痛、变黑之前,我们就应该定期拜访牙医,早检查、早发现、早治疗,不要等到牙疼才知道看医生。
发现蛀牙后,越早治越省钱
发现蛀牙,别犹豫!别害怕!尽快看牙医!
如果你任由它发展,事情就变复杂了……
前方高能!
▼
图片来源:站酷海洛 / 网络
首先,蛀牙拖得越久,治疗时就越疼。
治疗蛀牙之后只有一个办法——补牙。牙医需要用高速旋转磨头,把发生蛀牙的部分腐坏组织磨除。如果只是单纯的表面腐坏,磨掉这层就好了。
在这个过程中可能会有明显的牙齿酸痛不适,因为越深的蛀牙越靠近牙神经,牙神经遇到外界刺激就会产生痛觉。
如果蛀牙不是太深,牙医会用补牙材料把缺损的部位充填起来,恢复牙齿健康的外形。
但是!
如果蛀牙已经深到了牙神经,那么抱歉——根管治疗是逃不掉了。这个时候,如果不先打麻药,估计能痛得直接窜上天。
图片来源:图虫创意
疼还只是一方面,更让人肉疼的是时间,时间就是金钱!
给大家算笔账:
早期发现蛀牙,只要 200~300 元就能搞定。
当蛀牙严重到需要根管治疗时,往往还要做个全瓷或烤瓷的牙套,价格大概在 3000~4000 元。
如果牙齿已经烂到无法挽救,不得不拔牙,那么将来再做种植牙就得花上万了,20000 块都可能打不住。
治早期蛀牙 = 一顿火锅
治中期蛀牙 = 一部手机
治晚期蛀牙 = 一个大牌包包
但是大家要知道,如果每天坚持以正确方法用含氟牙膏刷牙两次、用牙线清洁牙缝,并且定期拜访牙医进行检查,很可能到老依然牙口倍儿棒,一分钱都不用花!
所以,快和家人一起去做个牙齿检查吧!
早发现早治疗,不要等到钱包掏空才后悔莫及。
